12月 | 2025 | blog

もず駅前わたなべ歯科

  • 〒591-8036 大阪府堺市北区百舌鳥本町1丁目1-4 Signet百舌鳥101
  • Tel.072-255-1100
誰でも簡単WEB予約

ブログ

Blog

もず駅前わたなべ歯科

MENU

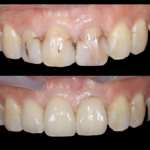
前歯のセラミック治療

上の前歯3本をセラミックを用いて治療しています。 患者様の悩みも解決して喜んでいただけました。 百舌鳥・三国ヶ丘・上野芝の歯科なら もず駅前わたなべ歯科 ...

続きを読む

カテゴリー

最近の投稿

月別アーカイブ