1月 | 2019 | blog

もず駅前わたなべ歯科

  • 〒591-8036 大阪府堺市北区百舌鳥本町1丁目1-4 Signet百舌鳥101
  • Tel.072-255-1100
誰でも簡単WEB予約

ブログ

Blog

もず駅前わたなべ歯科

MENU

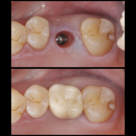
歯がしみる!

皆さんこんにちは! 冬なのに冷たい画像ですいません笑 今回は歯がしみる原因と対策をお伝えできたらと思います。 歯がしみることでお悩みの方は多いのではないでしょうか。 歯の一番外側はエナメル質といってものすごく固い層で覆われています。ここは痛みを感じません。 エナメル質の内側には象牙質があります。象牙質の中には神経(この画像では歯の中の赤いところ)から通じている細い管(象牙細管:ぞうげさいかん)...

続きを読む

総入れ歯の勉強会

みなさんこんにちは! 先日は土曜日にお休みを戴いて東京の歯科メーカーまで総入れ歯の研修会に行って参りました。 下の総入れ歯は上に比べて接着面積や維持安定の組織が少なくどうしても外れたり痛みが出やすくなってしまいます。 今回の2日間にわたるセミナーは毎回店員いっぱいになるようなセミナーで受講できることができて良かったです^^ 実際に総義歯の患者さんに来てもらって型取りの方法からコツや勘どころを学ぶ...

続きを読む

愛媛大学へ

みなさんこんにちは! 先日愛媛大学医学部まで実習勉強会にいってきました! そうそうたる指導医の先生方にサポートしてもらいながらの研修となり充実した二日間となりました。     愛媛には初めて行ったんですがとてものどかで空気もご飯も美味しかったです^^ 天気もすごく良かったんですが観光をする時間はなくひたすら実習していましたのでまたの機会にゆっくり行きたいです。  ...

続きを読む

痛くない虫歯・・?

こんにちは!院長の渡辺です。 本格的な寒波がきていますが体調崩されたりしてないでしょうか? 風邪をひくと咳や熱がでますね、転んで擦りむくと痛みや血がでます。 虫歯はどうでしょう?冷たいものがしみたり、ずきずきしたりといった症状があればわかりやすいですが。。 実は無症状に進む虫歯もあります。 特に大人は歯の中にある神経が子供に比べると細いので痛みがですそのままじわじわと進行していくことも珍しくありま...

続きを読む

明けましておめでとうございます!

みなさん明けましておめでとうございます! 年末年始はいかがお過ごしでしたか?私は帰省している友人と食事に行ったり初詣に行ったりとわりとゆっくりのんびりできました^^ちなみにおみくじは中吉でした笑   去年も忙しくあっという間に過ぎていきました。 特に去年は年末に開院もいたしましてバタバタとした平成最後の年となりました。思い返すとつくづく周りの仲間やみなさんに支えられて応援してもらっての今...

続きを読む

カテゴリー

最近の投稿

月別アーカイブ