奥歯のレジン治療

もず駅前わたなべ歯科

  • 〒591-8036 大阪府堺市北区百舌鳥本町1丁目1-4 Signet百舌鳥101
  • Tel.072-255-1100
誰でも簡単WEB予約

ブログ

Blog

もず駅前わたなべ歯科

MENU

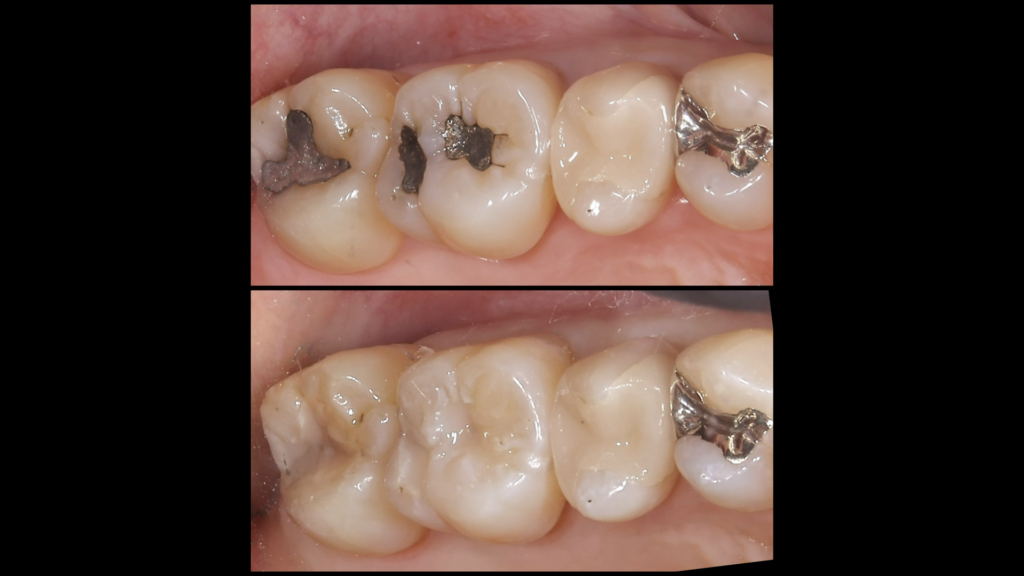
奥歯のレジン治療

上の奥歯のレジン治療を行いました

上野芝 百舌鳥 三国ヶ丘 もず駅前わたなべ歯科

カテゴリー

最近の投稿

月別アーカイブ