blog

もず駅前わたなべ歯科

  • 〒591-8036 大阪府堺市北区百舌鳥本町1丁目1-4 Signet百舌鳥101
  • Tel.072-255-1100
誰でも簡単WEB予約

ブログ

Blog

もず駅前わたなべ歯科

MENU

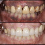
前歯の審美治療

当院にて前歯部のセラミック治療5箇所と歯肉のブリーチを行いました。 奥歯のインプラント治療も行っております。 百舌鳥・三国ヶ丘・上野芝
もず駅前わたなべ歯科 ...

続きを読む

前歯のセラミック治療

上の前歯3本をセラミックを用いて治療しています。 患者様の悩みも解決して喜んでいただけました。 百舌鳥・三国ヶ丘・上野芝の歯科なら もず駅前わたなべ歯科 ...

続きを読む

保育園検診

皆さんこんにちは、暑くなってきましたがいかがお過ごしでしょうか?   先日近くの保育園検診、幼児へのブラッシング指導をして参りました。 みんな熱心に聞いてくださって、いい検診日となりました^^   お子様の歯のことで何かあれば当院までお問い合わせください。                   中百舌鳥・三国ヶ丘・百舌鳥の歯科   もず駅前わたなべ歯科 ...

続きを読む

フッ化物の新基準

みなさんこんにちは! 虫歯の予防に有効な効果が示されているフッ化物ですが、今年より使用のガイドラインが更新されました。     500ppmの濃度がガイドラインから消え、歯の萌出に合わせて1000ppmの仕様が推奨となりましたので、ぜひ日常でも取り入れていただき、虫歯の予防につなげていたたけたらと思います。 ご不明な点があれば、来院の際にお問合せください。     院長            ...

続きを読む

診療時間変更のお知らせ

みなさんこんにちは、まだまだ寒い日が続きますがいかがお過ごしでしょうか。   さて、4月から診療時間が変更になります。 朝は9時から始まり、夜は7時までとなります。 会社帰りに通っていただいてました患者様には、ご不便ご迷惑をかけますが良質な人材確保のために新しい診療体制を決断しました。   今後とももず駅前わたなべ歯科を宜しく御願い致します。     院長                   上...

続きを読む

来年も宜しく御願い致します。

みなさんこんにちは! 本年も残り僅かとなりましたがいかがお過ごしでしたでしょうか。 あっという間に時間が経って、すっかり更新が滞ってしまいました。   今年は勉強会や実習など、去年に比べて再開したところも多くあり、臨むことができました。 診療に関しましても反省点もありますがある程度順調にみなさんの治療が進みました。 食事が美味しく噛めるとおっしゃっていただけると私も嬉しいです。 また来年も忙しく...

続きを読む

明けましておめでとうございます。

みなさま明けましておめでとうございます。 昨日は雪が降ったりと寒い日が続いておりますが体調崩さずにお過ごしでしょうか?   写真は去年の夏に訪れました鹿児島、桜島の日の出です。 年末年始は以前とは全く違う形のお休みになってしまいましたね、忘年会や外出も控えて家族で粛々と過ごしておりましたが工夫しながら楽しく本年を迎えることができました。   本院といたしましても感染対策を万全...

続きを読む

歯の噛み合わせの勉強会

皆さんこんにちは! 少しづつ肌寒くなってまいりましたがいかがお過ごしでしょうか? 先日土曜日の午後お休みをいただきまして噛み合わせの勉強会に行ってました 🙂  会場は南森町の衛生士学校で行いました。 座学から実習まで土日2日間みっちりと頑張ってまいりました。 噛み合わせという分野は理想はあるものの、もちろん一人一人あごの状態から歯の山や谷の形、形態は様々ですのでその人に合った詰め物の形や大きさ...

続きを読む

1 2 3 4 5 6

カテゴリー

最近の投稿

月別アーカイブ