奥歯のインプラント治療
〒591-8036 大阪府堺市北区百舌鳥本町1丁目1-4 Signet百舌鳥101
Tel.
072-255-1100
ブログ
Blog
ホーム
Home
院長紹介
Doctor
初めての方へ
First
診療内容
Medical
一般歯科
小児歯科
口腔外科
歯周病
審美歯科
予防歯科
義歯・入れ歯
矯正歯科
インプラント
設備紹介
Facility
アクセス
Access
お知らせ
News
求人情報
Recruit
電話を
かける
誰でも簡単
WEB予約
MENU
ホーム
院長紹介
初めての方へ
診療案内
診療案内
一般歯科
小児歯科
口腔外科
歯周病
審美歯科
予防歯科
義歯・入れ歯
矯正歯科
インプラント
医院紹介
アクセス
お知らせ
ブログ
HOME
ブログ
インプラント
奥歯のインプラント治療
奥歯のインプラント治療
2026年1月17日
インプラント
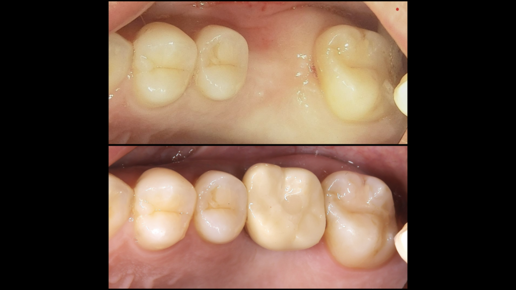
噛み合わせによって割れてしまった上の奥歯にインプラント処置を行いました。
上野芝 百舌鳥 三国ヶ丘 歯科 もず駅前わたなべ歯科
カテゴリー
開業準備
クリニックブログ
一般歯科
歯周病
予防歯科
小児歯科
矯正歯科
審美歯科
インプラント
口腔外科
未分類
最近の投稿
上の前歯の治療
上の奥歯のセラミック治療
上の奥歯のインプラント処置
下の奥歯のインプラント治療
奥歯のレジン治療
月別アーカイブ
2026年4月
2026年3月
2026年2月
2026年1月
2025年12月
2023年7月
2023年4月
2023年2月
2022年12月
2021年1月
2020年10月
2020年7月
2020年6月
2020年4月
2020年2月
2020年1月
2019年12月
2019年11月
2019年10月
2019年9月
2019年8月
2019年7月
2019年6月
2019年5月
2019年4月
2019年3月
2019年2月
2019年1月
2018年12月
2018年11月
2018年10月
2018年9月